Traitements esthétiques
A noter que les différentes techniques décrites plus bas sont souvent combinées entre elles.
Blanchiments
Peuvent être internes (pour des dents dévitalisées depuis longtemps et qui sont devenues brunes ou grises) ou externes (concerne toutes les dents et est effectué en général à la maison par le patient lui-même, en portant des gouttières pendant environ 7 nuits dans lesquelles il injecte un gel à base de peroxydes).
Situation initialeDent devenue brune suite à un accident ancien |
Après traitementBlanchiment interne |
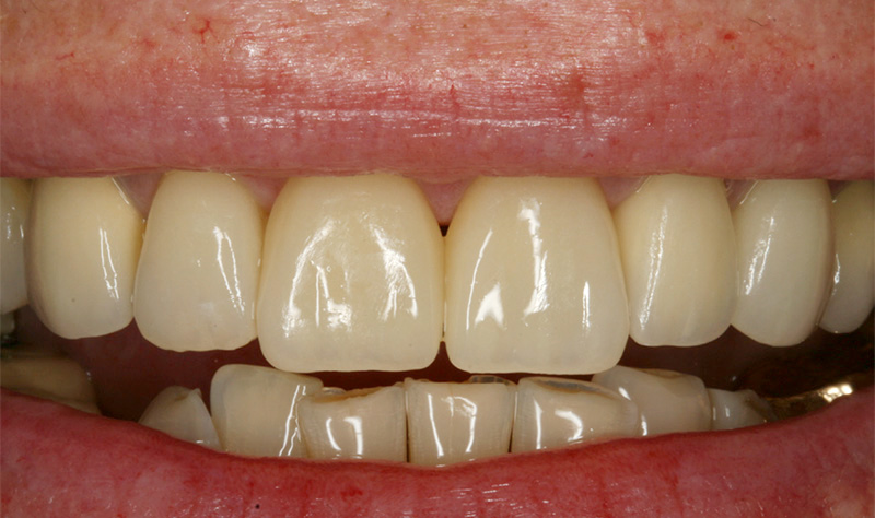
Situation initialeDent devenue jaunâtre suite à un choc |
Après traitementBlanchiment interne |
micro abrasion
Permet d’atténuer les taches blanches et éventuellement brun clair, souvent dues à un excès de fluorures pendant la période de minéralisation des dents.
![]() Situation initiale Teinte naturelle trop jaune + tâches de fluorose |
Après traitementBlanchiment externe + microabrasion |
![]() Situation initiale Tâches blanche de fluorose |
![]() Après traitement Atténuation après microabrasion |
Meulages esthétiques et/ ou coronoplasties à l’aide de composite
Permettent, dans une certaine mesure, de corriger de petits défauts de forme et/ ou de position, ou de diminuer ou fermer des espaces disgracieux pour des coûts très raisonnables.
![]() Situation initiale Dent mal positionnée |
![]() Après traitement Dent corrigée par meulages et composites |
![]() Situation initiale Incisives centrales très foncées avec niveau gingival trop bas |
![]() Après traitement Rehaussement du niveau gingival (laser Co2) et recouvrements complet en composite faits directement au fauteuil |
![]() Situation initiale Situation initiale: agénésie des latérales et teinte foncée |
![]() Après traitement Homebleaching et transformation des canines en latérales par meulages et reconstitutions en composite |
Facettes en céramique (veneers)
Il s’agit de « coquilles » réalisées au laboratoire par notre technicien dentiste et qui sont ensuite collées sur une ou plusieurs dents qui auront été légèrement réduites en épaisseur préalablement.
Ce traitement permet d’apporter des corrections importantes de forme, et dans une certaine mesure aussi de faire de petites corrections de position et de teinte sur des dents présentant des problèmes esthétiques non résolubles par les techniques décrites plus haut. Le résultat est hyper naturel et extrêmement stable dans le temps.
Situation initialeDents très usées |
Après traitementRestauration par 4 facettes céramiques |
Situation initialeAccident: fracture de deux incisives |
Après traitementRestauration par facette + reconstruction composite |
Situation initialeDents trop petites gênant la patiente |
Après traitementRestauration par 2 facettes céramiques |
![]() Situation initiale Dents usées et trop courtes; contour gingival trop bas |
![]() Après traitement Restauration par 5 facettes céramique+ correction chirurgicale du niveau gingival |



Situation initiale
Après traitement
Situation initiale
Après traitement
Après traitement







Situation initiale
Après traitement
Situation initiale
Après traitement
Situation initiale
Après traitement
