Prothèse fixe
Ponts céramiques
Pour remplacer et restaurer de manière fixe des dents manquantes ou des segments de plusieurs dents.
Les ponts prennent appuis sur une ou plusieurs dents adjacentes ou implants.
Ils peuvent parfois aussi représenter une alternative intéressante aux implants, dans les rares cas où la pose de ces derniers est impossible ou contre-indiquée.
Une armature en alliage d’or (cachée par la céramique) ou en oxyde de Zirconium (zircone= céramique extrêmement résistante) assure leur résistance mécanique à long terme.
Ils peuvent reposer soit sur des dents naturelles préparées , soit sur des implants dentaires.
|
Perte des deux incisives latérales |
![]() APRES TRAITEMENTRemplacement uniquement des dent manquantes par deux ponts collés (ailettes en zircone derrière les canines) |
Perte d’une incisive latérale suite à un accident |
Après traitementRemplacement uniquement de la dent manquante par un pont collé (ailette en zircone derrière la canine) |
Couronnes en céramique
Pour restaurer de manière individuelle et très durable les dents extrêmement délabrées ou même des dents manquantes (couronnes vissées sur implants)
Situation initialeAncienne couronne céramo-métallique inesthétique |
Après traitementRemplacement par une couronne tout céramique |
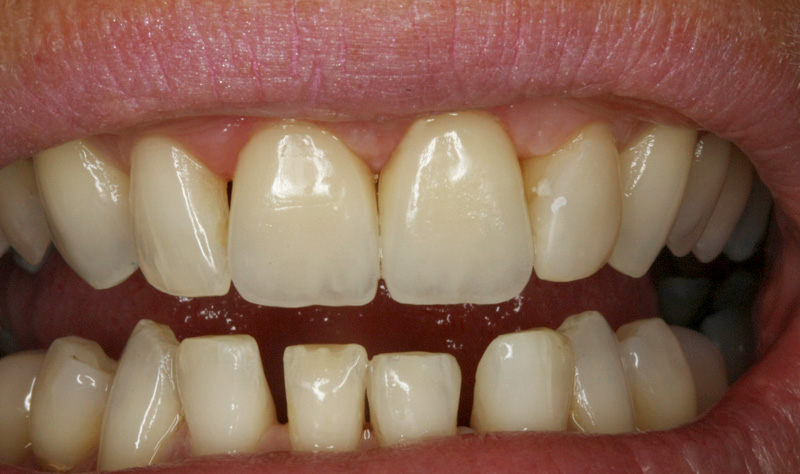
Situation initialeAnciennes couronnes inesthétiques et ligne gingivale trop basse |
Après traitementNouvelles couronnes avec correction du contour gingival |
Prothèses amovibles
Elles peuvent être partielles (tenant avec des crochets et/ ou des boutons-pressions), ou totales (éventuellement avec boutons-pressions fixée sur 2 ou 4 implants).
Elles sont toujours conçues de manière à restaurer au mieux la morphologie et la fonction masticatrice. Cela tout en respectant les critères esthétiques, grâce à plusieurs essais réalisés en bouche avec des « maquettes ».
Situation initialeAncienne prothèse totale usée et mal conçue: profil concave |
Après traitementNouvelle prothèse totale avec meilleur soutien de la lèvre supérieure: profil rajeuni |
Situation initialeEdentement partiel |
Après traitementRemplacement par prothèse partielle amovible |
Après traitementNouveau sourire « réhabilité » |


SITUATION INITIALE









